Ridgeway Dental Surgery
Ridgeway Dental Surgery 

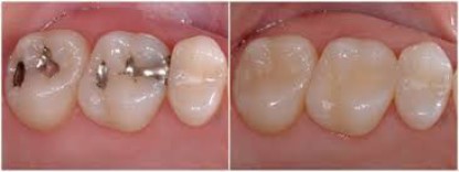
White Fillings

Make life easy for yourself: we offer services that make your visit simpler and more pleasant.

 

 

 

 

 

 

 

 

 

 

When mercury-containing amalgam fillings are removed for clinical reasons they are routinely replaced with tooth coloured composite material which not only look so much better but provide more strength to the remaining tooth. They look so good people often ask me to replace their old grey fillings anyway!

Making an appointment:

Tel: 01202 692888

 

You can also use our contact form.

Address

Address

Ridgeway Dental Practice

1st Floor

211 Lower Blandford Road   

Broadstone

BH18 8DN

Opening hours

Monday 8:00 - 18:00

Tuesday 8:00 - 18:00

Wednesday 8:00 - 16:00

Thursday 8:00 - 16:00

Friday 8:00 - 12:00

 

If you have a problem outside our opening hours, please see the emergency plan. 

Print | Sitemap
© Ridgeway Dental Practice