Ridgeway Dental Surgery
Ridgeway Dental Surgery 

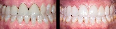
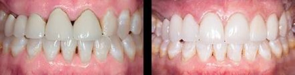
Lava Crowns

Old NHS crowns and bridges can look dull and lifeless and often show an ugly grey line at the gum margin as you can see on the picture on the left.

Replacing them with LAVA crowns which are metal free can dramatically improve the appearance. This is a simple procedure over 2 appointments in only 2 weeks.

Making an appointment:

Tel: 01202 692888

 

You can also use our contact form.

Address

Address

Ridgeway Dental Practice

1st Floor

211 Lower Blandford Road   

Broadstone

BH18 8DN

Opening hours

Monday 8:00 - 18:00

Tuesday 8:00 - 18:00

Wednesday 8:00 - 16:00

Thursday 8:00 - 16:00

Friday 8:00 - 12:00

 

If you have a problem outside our opening hours, please see the emergency plan. 

Print | Sitemap
© Ridgeway Dental Practice